Table of Contents
Washington University Experience | METABOLIC | Neuronal Ceroid Lipofuscinosis (NCL) | 2F1 NCL (Case 2) L1 H&E 1.jpg
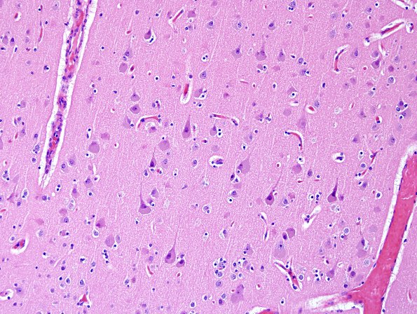
2F1,2 The frontal lobe showed minimal to no loss of neurons throughout the neocortex. Most cortical neurons contain gray, finely granular material filling their perikarya. (H&E)
