Table of Contents
« prev
next »
Washington University Experience
|
METABOLIC
|
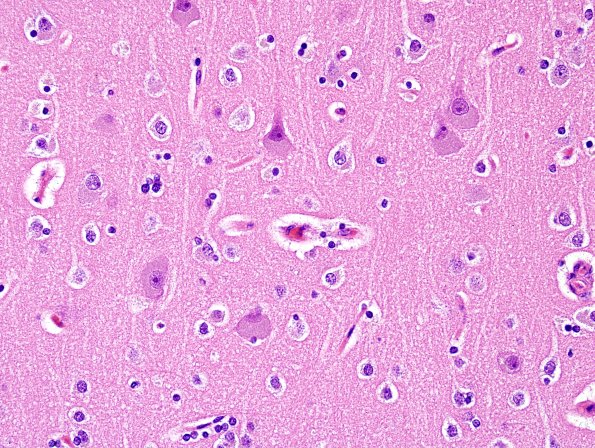
Neuronal Ceroid Lipofuscinosis (NCL)
|
2F2 NCL (Case 2) L1 H&E 2.jpg
Higher magnification of image #2F1. (H&E)
Image Info
Camera Maker:
Olympus Corporation
Camera Model:
DP70
Original Time Taken:
25-05-2013
Shutter Speed:
1/235 sec
ISO Sensitivity:
200
Metering Mode:
Spot
Gallery RSS
|
Archive View
|
Login
|
Powered by
Zenphoto