Table of Contents
« prev
next »
Washington University Experience
|
METABOLIC
|
Neuronal Ceroid Lipofuscinosis (NCL)
|
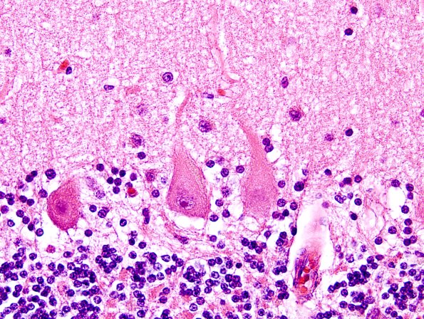
2H2 NCL (Case 2) L14 H&E 3.jpg
Purkinje cells are well preserved but contain lipopigment. (H&E)
Image Info
Camera Maker:
Olympus Corporation
Camera Model:
DP70
Original Time Taken:
25-05-2013
Shutter Speed:
1/23 sec
ISO Sensitivity:
200
Metering Mode:
Spot
Gallery RSS
|
Archive View
|
Login
|
Powered by
Zenphoto