Table of Contents
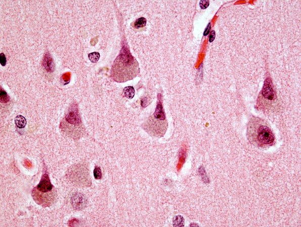
Washington University Experience | METABOLIC | Neuronal Ceroid Lipofuscinosis (NCL) | 3B3 Neuronal Ceroid Lipofuscinosis (Case 3) cortex 1
There are numerous preserved neurons with dilatation of an orange granular material, formation of a round-bottomed flask shape, displacement of the nucleus into the apical dendrite and mild astrocytosis. (H&E)
