Table of Contents
« prev
next »
Washington University Experience
|
METABOLIC
|
Neuronal Ceroid Lipofuscinosis (NCL)
|
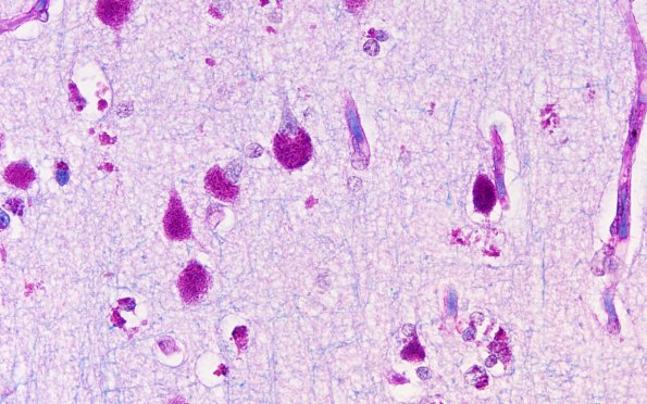
3C2 PAS (NCL, Case 3) 60X
The cortical neurons contain large amounts of PAS+ lipopigment.
Image Info
Camera Maker:
Olympus
Camera Model:
DP74
Shutter Speed:
4/177 sec
Metering Mode:
Multi-Spot
Gallery RSS
|
Archive View
|
Login
|
Powered by
Zenphoto