Table of Contents



Washington University Experience | METABOLIC | Neuronal Ceroid Lipofuscinosis (NCL) | 3E1 NCL (Case 3) cortex EM 1

3E1 NCL (Case 3) cortex EM 1
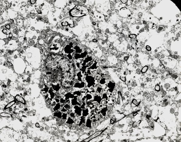
3E1-3 This cortical neuron contains a large amount of bland lipopigment. (electron micrographs)


Gallery RSS RSS Feed | Archive View | Login | Powered by Zenphoto