Table of Contents



Washington University Experience | METABOLIC | Neuronal Ceroid Lipofuscinosis (NCL) | 3E3 NCL (Case 3) cortex EM 5

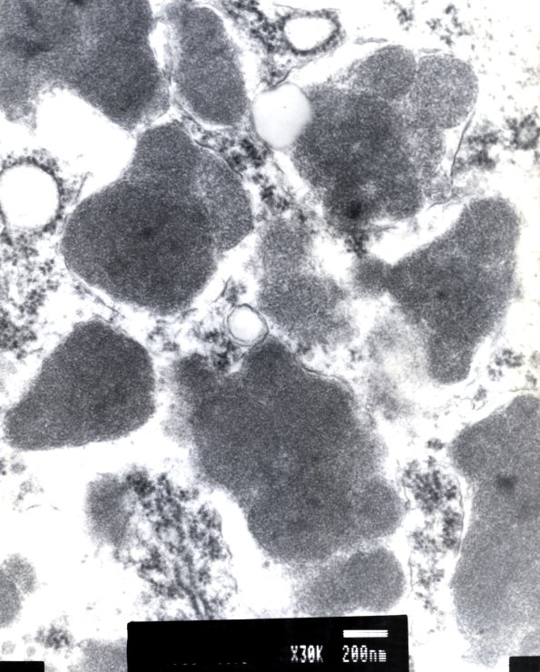
3E3 NCL (Case 3) cortex EM 5
This cortical neuron contains a large amount of bland lipopigment. (electron micrographs)


Gallery RSS RSS Feed | Archive View | Login | Powered by Zenphoto