Table of Contents



Washington University Experience | METABOLIC | Neuronal Ceroid Lipofuscinosis (NCL) | 3E4 NCL (Case 3) cortex EM 4

3E4 NCL (Case 3) cortex EM 4
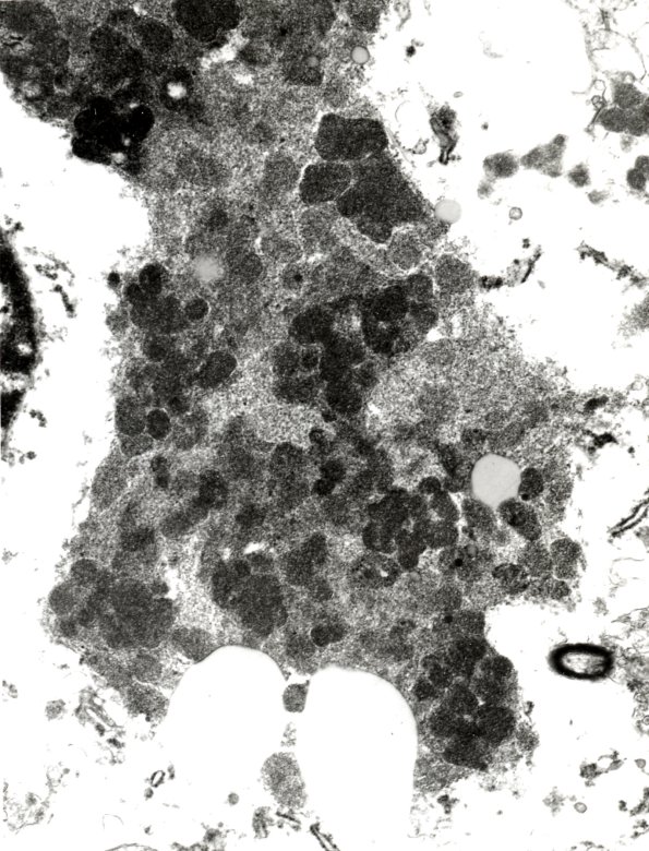
This is a large complex lipopigment aggregate. (electron micrograph)


Gallery RSS RSS Feed | Archive View | Login | Powered by Zenphoto