Table of Contents
Washington University Experience | METABOLIC | Neuronal Ceroid Lipofuscinosis (NCL) | 3F2 NCL (Case 3) LFB-PAS 60X 2
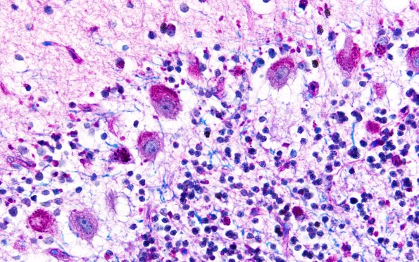
A higher magnification image shows numerous Purkinje cells with PAS+ stained inclusions as well as smaller inclusions in the granule neurons. (LFB-PAS) ---- Not shown: The stored product was stained with Sudan black. ---- Comment: Hereditary adult ceroid lipofuscinosis generally is associated with the eponym Kufs disease . However this current case differs from the usual variety of Kufs disease in that the hereditary trait is dominant rather recessive and that there is prominent neuron loss in the substantia nigra. This difference has been noted earlier and this dominant variety has been called Parry disease.
