Table of Contents
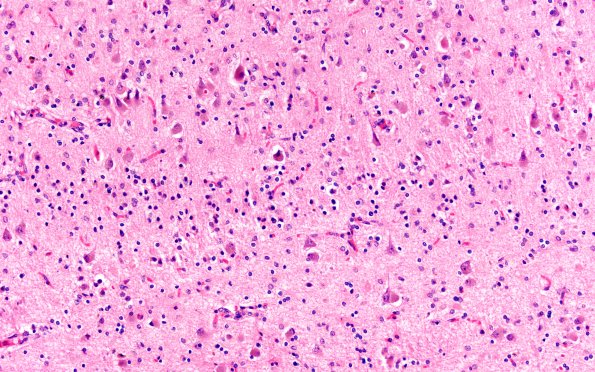
Washington University Experience | METABOLIC | Neuronal Ceroid Lipofuscinosis (NCL) | 4B2 NCL (Case 4) H&E 20X 4
Multiple sections of the cerebral cortex showed a considerable loss of neurons, mainly in layer three, with most of the remaining neurons distended with pale or granular cytoplasmic storage product and an eccentric nuclear displacement into the apical dendrite. (H&E)
