Table of Contents
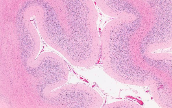
Washington University Experience | METABOLIC | Neuronal Ceroid Lipofuscinosis (NCL) | 4C1 NCL (Case 4) Cbell 4X
This low magnification image of the cerebellar hemisphere shows significant loss of Purkinje and granule neurons.(H&E)
