Table of Contents
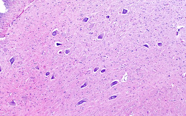
Washington University Experience | METABOLIC | Neuronal Ceroid Lipofuscinosis (NCL) | 4D1 NCL (Case 4) H&E spinal cord 10X
4D1-3 The anterior horn cells typically accumulate lipopigment with age but would not be expect in such large amounts in a person at age 33.
