Table of Contents
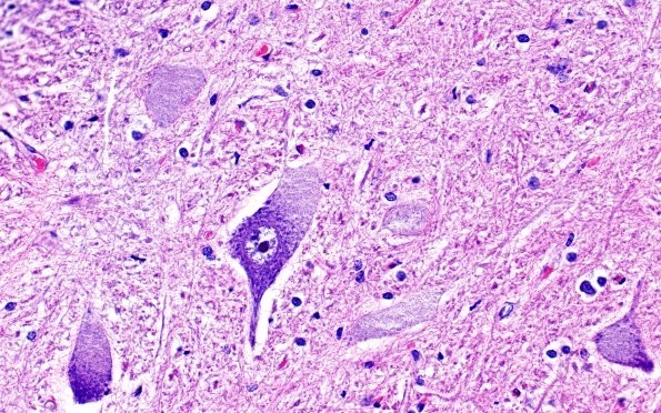
Washington University Experience | METABOLIC | Neuronal Ceroid Lipofuscinosis (NCL) | 4D3 NCL (Case 4) H&E spinal cord 40X
The anterior horn cells typically accumulate lipopigment with age but would not be expect in such large amounts in a person at age 33.
