Table of Contents
« prev
next »
Washington University Experience
|
METABOLIC
|
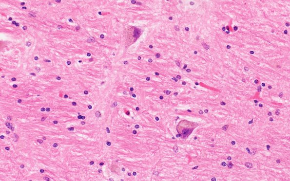
Neuronal Ceroid Lipofuscinosis (NCL)
|
4E NCL (Case 4) BG 40X
Basal ganglia neurons also demonstrated accumulated lipopigment.
Image Info
Camera Maker:
Olympus
Camera Model:
DP74
Shutter Speed:
20/3643 sec
Metering Mode:
Multi-Spot
Gallery RSS
|
Archive View
|
Login
|
Powered by
Zenphoto