Table of Contents
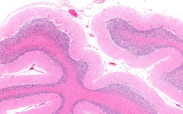
Washington University Experience | METABOLIC | Neuronal Ceroid Lipofuscinosis (NCL) | 5D1 NCL (Case 5) Cbell 4X A
5D1,2 Numbers of Purkinje and granule neurons are well maintained in this case. Nonetheless, Purkinje neurons have accumulated significant lipopigment.
