Table of Contents
Washington University Experience | METABOLIC | Neuronal Ceroid Lipofuscinosis (NCL) | 5D2 NCL (Case 5) Cbell 40X 2
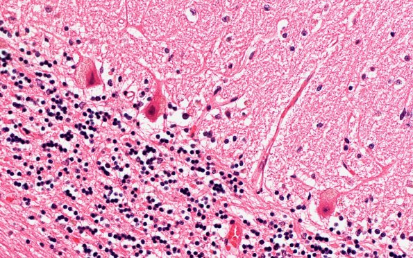
Numbers of Purkinje and granule neurons are well maintained in this case. Nonetheless, Purkinje neurons have accumulated significant lipopigment.
