Table of Contents
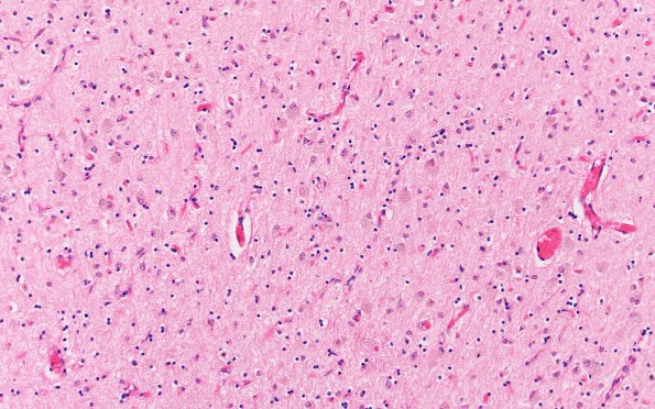
Washington University Experience | METABOLIC | Neuronal Ceroid Lipofuscinosis (NCL) | 7B2 NCL (Case 7) Occip H&E 20X
7B2-4 The microscopic appearance of the occipital cortex confirms neuron loss, astrocytosis and residual neurons with stored material. (H&E)
