Table of Contents
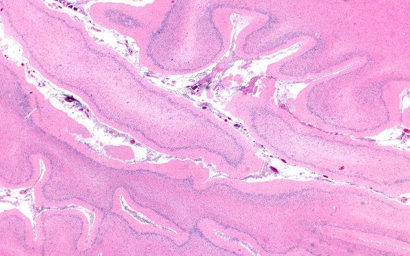
Washington University Experience | METABOLIC | Neuronal Ceroid Lipofuscinosis (NCL) | 7C2 NCL (Case 7) Cbell & dentate H&E 2X
These low magnification images demonstrates loss of Purkinje and granule neurons resulting in folial atrophy. (H&E)
