Table of Contents
« prev
next »
Washington University Experience
|
METABOLIC
|
Neuronal Ceroid Lipofuscinosis (NCL)
|
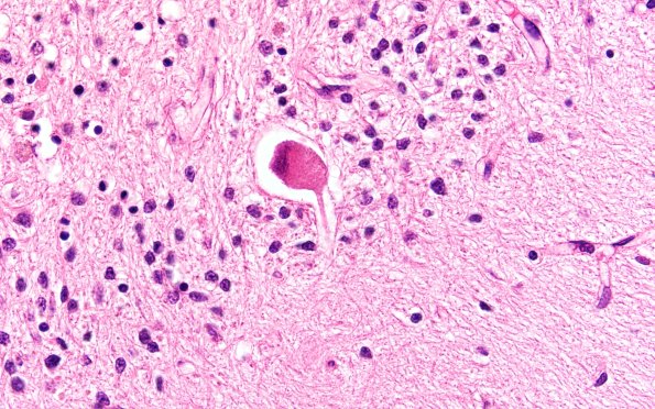
7C4 NCL (Case 7) Cbell & dentate H&E 60X 2
The remaining Purkinje cells contain orangish lipopigment. (H&E)
Image Info
Camera Maker:
Olympus
Camera Model:
DP74
Shutter Speed:
24/2459 sec
Metering Mode:
Multi-Spot
Gallery RSS
|
Archive View
|
Login
|
Powered by
Zenphoto