Table of Contents
« prev
next »
Washington University Experience
|
METABOLIC
|
Neuronal Ceroid Lipofuscinosis (NCL)
|
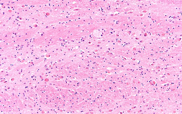
7E1 NCL (Case 7) Pons 20X H&E
7E1,2 Neurons of the basis pontis contain storage product. (H&E)
Image Info
Camera Maker:
Olympus
Camera Model:
DP74
Shutter Speed:
11/10000 sec
Metering Mode:
Multi-Spot
Gallery RSS
|
Archive View
|
Login
|
Powered by
Zenphoto