Table of Contents
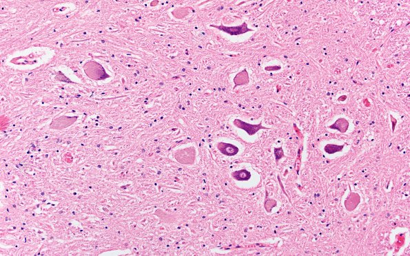
Washington University Experience | METABOLIC | Neuronal Ceroid Lipofuscinosis (NCL) | 7F2 NCL (Case 7) LS COrd ant horn 20X 1
7F2,3 Higher magnification images show marked dilatation (arrow, 7F3) of individual anterior horn cells. (H&E)
