Table of Contents
Washington University Experience | METABOLIC | Neuronal Ceroid Lipofuscinosis (NCL) | 7F3 NCL (Case 7) LS COrd ant horn 40X 1 copy
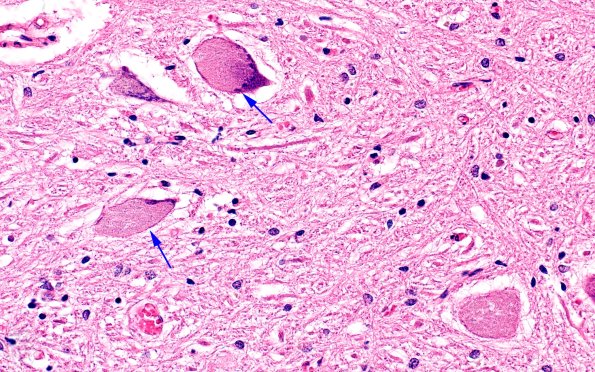
Higher magnification images show marked dilatation (arrows, 7F3) of individual anterior horn cells. (H&E) ---- Not shown: Ultrastructural evaluation of sections of cerebral cortex confirm the presence of intracellular granular matrix and appear to be curvilinear profiles, although the latter are more difficult to evaluate due to an autolysis artefact. In addition, the report of a previous rectal biopsy on this patient (November 1976) but not the images themselves describe ultrastructural evidence of fingerprint type cytosomes within ganglion eels. These cytosomes corresponded to a lipid material which stained positively with oil red O and, as the autopsy material does, for PAS. The material in this biopsy was also autofluorescent.
