Table of Contents
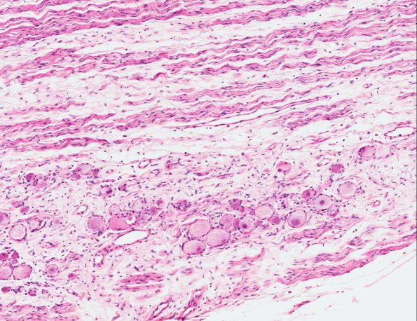
Washington University Experience | METABOLIC | Neuronal Ceroid Lipofuscinosis (NCL) | 8A2 NCL, Lumbar sympathetic ganglia (AANP 1974, Case 6) H&E X10
Sections of a lumbar paravertebral sympathetic ganglion shows marked distension of sympathetic neurons by a stored pale granule product.
