Table of Contents
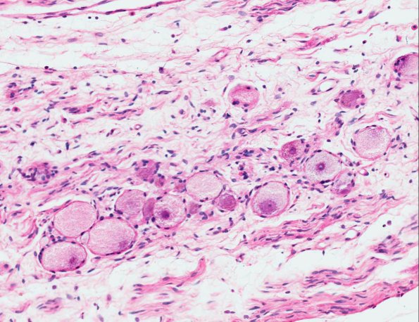
Washington University Experience | METABOLIC | Neuronal Ceroid Lipofuscinosis (NCL) | 8A3 NCL (AANP 1974, Case 6) H&E X20 4
Sections of a lumbar paravertebral sympathetic ganglion shows marked distension of sympathetic neurons by a stored pale granule product.
