Table of Contents
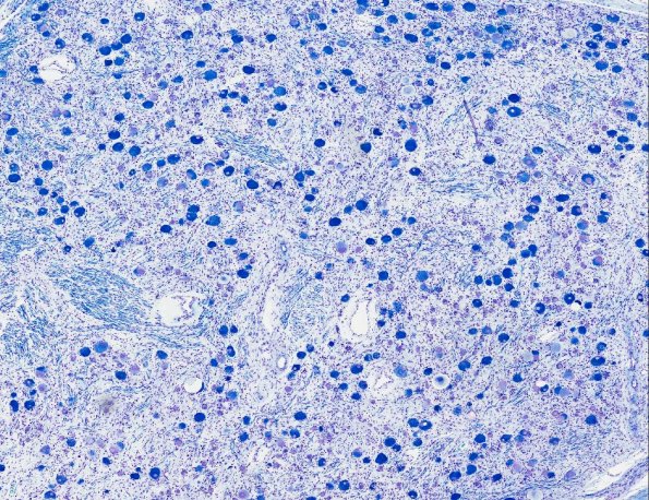
Washington University Experience | METABOLIC | Neuronal Ceroid Lipofuscinosis (NCL) | 8B1 NCL (AANP 1974, Case 6) Kluver X4 1
8B1,2 The stored material stains blue in this Kluver stain of the resected sympathetic ganglia. (Kluver stain).
