Table of Contents
Washington University Experience | METABOLIC | Neuronal Ceroid Lipofuscinosis (NCL) | 9A2B NCL (Case 9) Skin Bx EM 067A - Copy
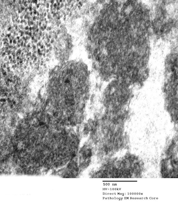
In the eccrine ducts there were scattered cytosomes which contain one or more inclusions characterized by vague tubulovesicular elements which are most compatible with curvilinear bodies of NCL, although they are not a precise match. (electron micrograph)
