Table of Contents



Washington University Experience | METABOLIC | Neuronal Ceroid Lipofuscinosis (NCL) | 9A5A NCL (Case 9) Skin Bx EM 117A - Copy

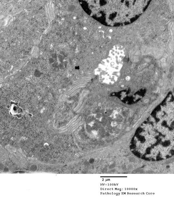
9A5A NCL (Case 9) Skin Bx EM 117A - Copy
9A5A,B Several magnifications of the inclusions in this case. (electron micrographs)


Gallery RSS RSS Feed | Archive View | Login | Powered by Zenphoto