Table of Contents
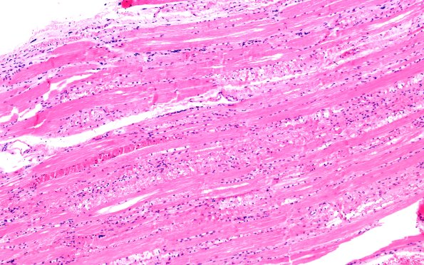
Washington University Experience | METABOLIC | Pompe Disease | 5A1 Muscle (Case 5) H&E 10X
Case 5 History ---- The patient is a 54-year-old man with a history of heavy smoking, alcohol and cocaine use who, over the course of several years, developed progressive lower extremity weakness, dysphagia, and respiratory insufficiency. He subsequently had a more precipitous decline over the last few months accompanied by new symptoms including headache and confusion. Imaging followed by surgical resection revealed a left frontal solitary fibrous tumor, WHO grade 3. His clinical course has been complicated by recurrent hypercarbic respiratory failure. Of note, his sister was recently diagnosed with Pompe disease, reportedly confirmed by genetic testing. Operative procedure: Right biceps muscle biopsy ---- 5A1-3 H&E stained sections of the formalin-fixed, paraffin-embedded right bicep muscle biopsy show striated skeletal muscle with numerous ragged vacuolated myofibers. There are increased numbers of pyknotic nuclear clumps and internalized nuclei. (H&E)
