Table of Contents
« prev
next »
Washington University Experience
|
METABOLIC
|
Pompe Disease
|
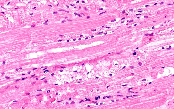
5A2 Muscle (Case 5) H&E 40X
Higher magnification of image #5A1. (H&E)
Image Info
Camera Maker:
Olympus
Camera Model:
DP74
Shutter Speed:
3/616 sec
Metering Mode:
Multi-Spot
Gallery RSS
|
Archive View
|
Login
|
Powered by
Zenphoto