Table of Contents
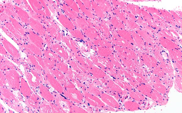
Washington University Experience | METABOLIC | Pompe Disease | 5A3 Muscle (Case 5) H&E 20X
H&E stained sections of the formalin-fixed, paraffin-embedded right bicep muscle biopsy show striated skeletal muscle with numerous ragged vacuolated myofibers. There are increased numbers of pyknotic nuclear clumps and internalized nuclei. (H&E)
