Table of Contents
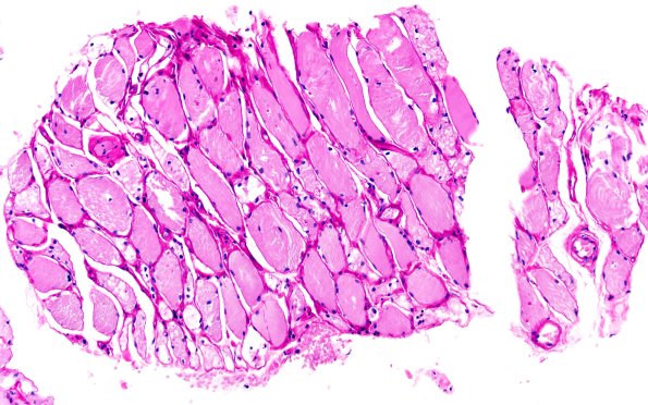
Washington University Experience | METABOLIC | Pompe Disease | 5B2 Muscle (Case 5) PAS with diastase 20X
PAS with diastase digestion was performed to evaluate glycogen stores. The muscle shows strong cytoplasmic PAS labeling which was significantly diminished by diastase, consistent with glycogen deposition. However, as is typical for tissue processed for paraffin embedding, much of the glycogen appears to have been washed out. (PAS/PAS-D)
