Table of Contents
« prev
next »
Washington University Experience
|
METABOLIC
|
Pompe Disease
|
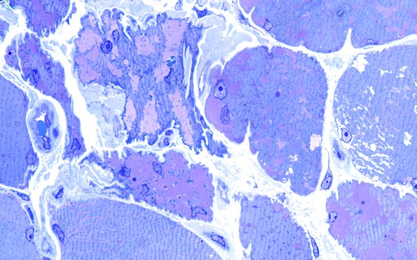
5C5 Muscle (Case 5) Plastic 100X 3
A variety of atrophic fibers with variable levels of stored material are shown. (Plastic sections)
Image Info
Camera Maker:
Olympus
Camera Model:
DP74
Shutter Speed:
8/63 sec
Metering Mode:
Multi-Spot
Gallery RSS
|
Archive View
|
Login
|
Powered by
Zenphoto