Table of Contents
« prev
next »
Washington University Experience
|
METABOLIC
|
Pompe Disease
|
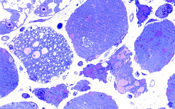
5C7 Muscle (Case 5) Plastic 100X 5
Several fibers are particularly vacuolated with variable content. (Plastic sections)
Image Info
Camera Maker:
Olympus
Camera Model:
DP74
Shutter Speed:
2/25 sec
Metering Mode:
Multi-Spot
Gallery RSS
|
Archive View
|
Login
|
Powered by
Zenphoto