Table of Contents



Washington University Experience | METABOLIC | Pompe Disease | 5D12 Muscle (Case 5) EM024 - Copy

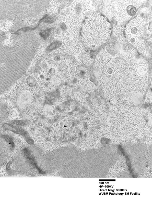
5D12 Muscle (Case 5) EM024 - Copy
The cytosomes here are a mixture of the previous elements with both free and membrane bound glycogen. (electron micrographs)


Gallery RSS RSS Feed | Archive View | Login | Powered by Zenphoto