Table of Contents



Washington University Experience | METABOLIC | Pompe Disease | 5D13 Muscle (Case 5) EM025 - Copy

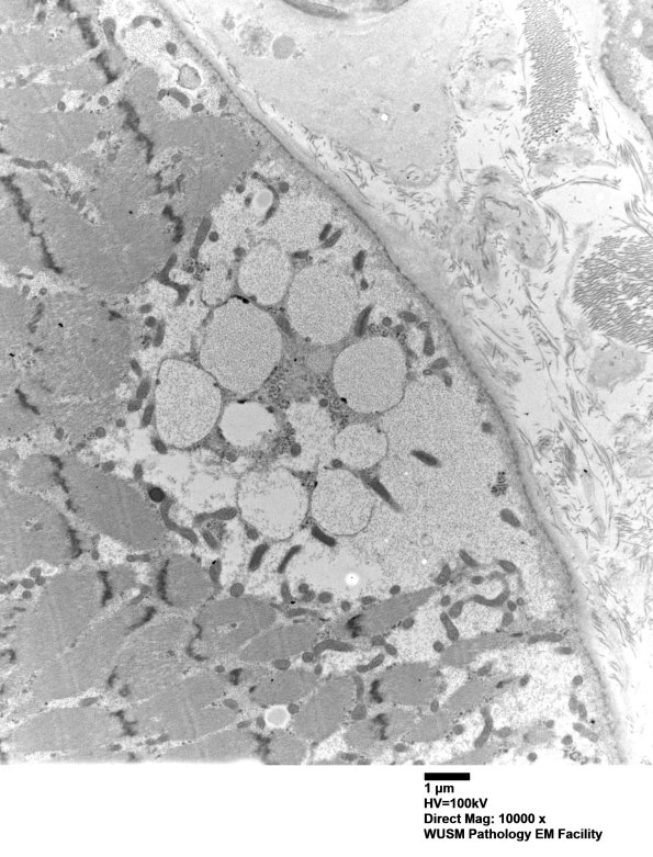
5D13 Muscle (Case 5) EM025 - Copy
5D13,14 There are multiple membrane bound elements under the sarcolemma. (electron micrographs)


Gallery RSS RSS Feed | Archive View | Login | Powered by Zenphoto