Table of Contents
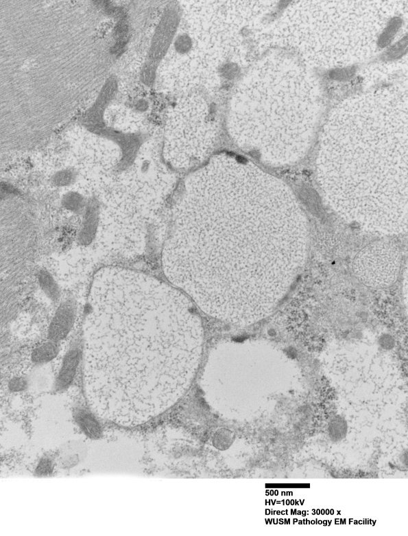
Washington University Experience | METABOLIC | Pompe Disease | 5D14 Muscle (Case 5) EM027 - Copy
There are multiple membrane bound elements under the sarcolemma. (electron micrographs) ---- Additional results: Biochemical studies of the muscle showed a marked increase in glycogen (394 μg/mg protein vs. normal 0.015).
