Table of Contents



Washington University Experience | METABOLIC | Pompe Disease | 5D8 Muscle (Case 5) EM018 - Copy

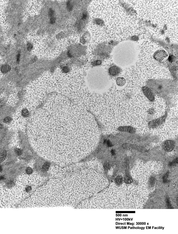
5D8 Muscle (Case 5) EM018 - Copy
The contents of this muscle fiber are complex, distort the sarcomeres and also include lipid collections. (electron micrographs)


Gallery RSS RSS Feed | Archive View | Login | Powered by Zenphoto