Table of Contents



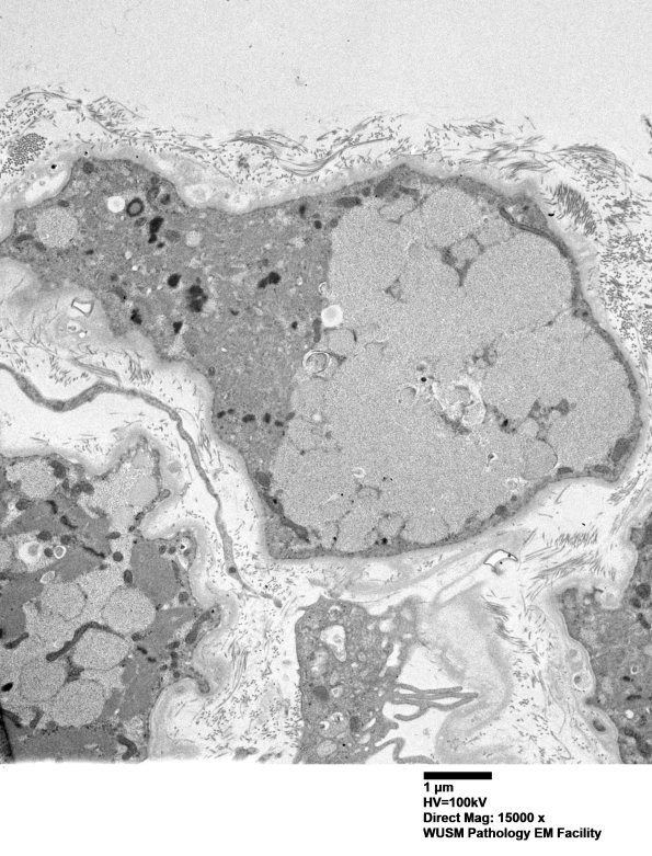
Washington University Experience | METABOLIC | Pompe Disease | 5D9 Muscle (Case 5) EM020 - Copy

5D9 Muscle (Case 5) EM020 - Copy
5D9,10 This atrophic fiber shows little residual of its sarcomeric substructure. (electron micrographs)


Gallery RSS RSS Feed | Archive View | Login | Powered by Zenphoto