Table of Contents



Washington University Experience | METABOLIC | Wernicke Encephalopathy | 18A1 (Case18) Wernicke FL2D T1 FS POST contrast copy

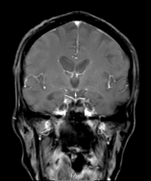
18A1 (Case18) Wernicke FL2D T1 FS POST contrast copy
This T1-weighted post contrast scan shows slight but compelling hyperintensity and enhancement.


Gallery RSS RSS Feed | Archive View | Login | Powered by Zenphoto