Table of Contents



Washington University Experience | METABOLIC | Wernicke Encephalopathy | 18A2 (Case 18) Wernicke FLAIR 2 copy

18A2 (Case 18) Wernicke FLAIR 2 copy
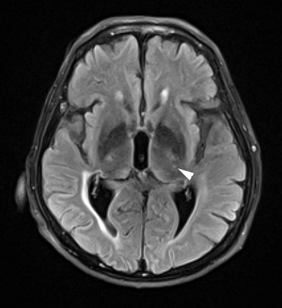
The dorsal part of the thalamus shows slight patchy hyperintensity in this FLAIR scan.


Gallery RSS RSS Feed | Archive View | Login | Powered by Zenphoto