Table of Contents
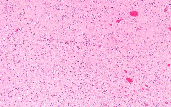
Washington University Experience | METABOLIC | Wernicke Encephalopathy | 18C6 (Case 18) Wernicke N11B H&E 10X
Higher magnification images of the MB show relatively preserved neurons, mild hemorrhage and prominent astrocytosis. (H&E)
