Table of Contents
« prev
next »
Washington University Experience
|
METABOLIC
|
Wernicke Encephalopathy
|
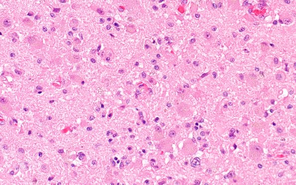
18C7 (Case 18) Wernicke N11B H&E 40X
Higher magnification of image 18C6. (H&E)
Image Info
Camera Maker:
Olympus
Camera Model:
DP74
Shutter Speed:
27/6250 sec
Metering Mode:
Multi-Spot
Gallery RSS
|
Archive View
|
Login
|
Powered by
Zenphoto