Table of Contents
« prev
next »
Washington University Experience
|
METABOLIC
|
Wernicke Encephalopathy
|
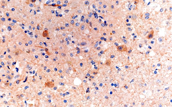
18D2 Wernicke (Case 18) NeuN 40X
NeuN immunoreactivity shows relative preservation of MB neurons. (NeuN IHC)
Image Info
Camera Maker:
Olympus
Camera Model:
DP74
Shutter Speed:
29/7754 sec
Metering Mode:
Multi-Spot
Gallery RSS
|
Archive View
|
Login
|
Powered by
Zenphoto