Table of Contents
« prev
next »
Washington University Experience
|
METABOLIC
|
Wernicke Encephalopathy
|
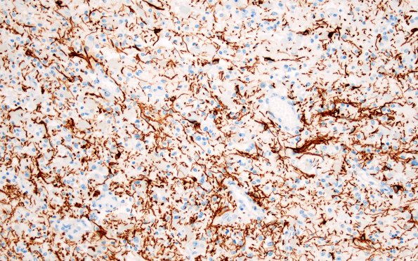
18E2 (Case 18) Wernicke N11A GFAP 20X
The MB gliosis is well demonstrated in this GFAP stain. (GFAP IHC)
Image Info
Camera Maker:
Olympus
Camera Model:
DP74
Shutter Speed:
33/50000 sec
Metering Mode:
Multi-Spot
Gallery RSS
|
Archive View
|
Login
|
Powered by
Zenphoto