Table of Contents
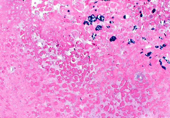
Washington University Experience | MISCELLANEOUS | Amyloidoma | 2A2 Amyloidoma (Case 2) H&E 10
2A2,3 However, higher magnifications show an unusual collection of thick, apparently unstructured, material surrounding a central vessel in many cases (H&E)
