Table of Contents
Washington University Experience | MISCELLANEOUS | Amyloidoma | 7A1 Amyloidoma (Case 7) T2 FLAIR - Copy
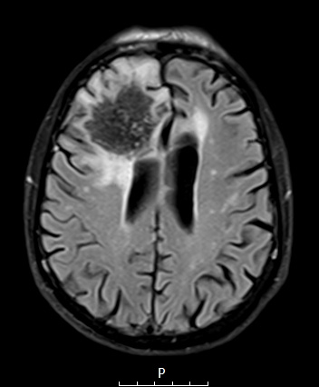
Case 7 History ---- The patient was an 84yo male who was in his usual state of health until February 2023 when he developed new onset neurologic symptoms/signs, most notable for personality changes, labile mood, impaired cognition, and imbalance. One week later, he had a first-time grand mal seizure with a second occurrence in the ED and was hospitalized for further investigation and management. He was intubated and briefly required mechanical ventilation for airway protection. MRI revealed a 5 cm right frontal mass with mild vasogenic edema and mass effect. He received a few days of steroids, and anxiolytics/antipsychotics as needed for agitation. Procedure: Stereotactic brain biopsy. ---- 7A1-5 MRI scans ---- 7A1 The impressive lesion is hypointense with surrounding bright edema on T2 FLAIR.
