Table of Contents



Washington University Experience | MISCELLANEOUS | Amyloidoma | 7A3 Amyloidoma (Case 7) T1W 2 - Copy

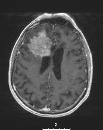
7A3 Amyloidoma (Case 7) T1W 2 - Copy
The T1-weighted exam enhances with contrast administration.


Gallery RSS RSS Feed | Archive View | Login | Powered by Zenphoto