Table of Contents



Washington University Experience | MISCELLANEOUS | Amyloidoma | 7A4 Amyloidoma (Case 7) T1W 2 COR - Copy

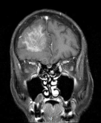
7A4 Amyloidoma (Case 7) T1W 2 COR - Copy
The T1-weighted exam with contrast is shown in coronal orientation.


Gallery RSS RSS Feed | Archive View | Login | Powered by Zenphoto