Table of Contents



Washington University Experience | MISCELLANEOUS | Amyloidoma | 7A5 Amyloidoma (Case 7) T2 noC - Copy

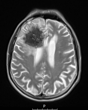
7A5 Amyloidoma (Case 7) T2 noC - Copy
The lesion is hypointense on this T2-weighted scan without contrast.


Gallery RSS RSS Feed | Archive View | Login | Powered by Zenphoto