Table of Contents
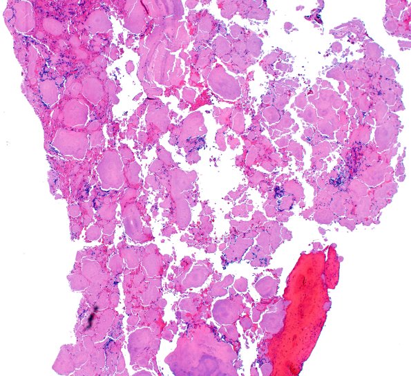
Washington University Experience | MISCELLANEOUS | Amyloidoma | 7B1 Amyloidoma (Case 7) H&E 4X
Hematoxylin and stained sections show abundant globules of amorphous eosinophilic acellular material. The material shows focal calcifications. (H&E)
